You are currently viewing أسباب تغير لون الأسنان وطرق الوقاية والعلاج
أسباب تغير لون الأسنان وطرق الوقاية والعلاج

أسباب تغير لون الأسنان وطرق الوقاية والعلاج

الابتسامة هي عنوان الجاذبية، لكن تصبغ الأسنان قد يسلبك هذه الثقة، ويجعلك تتردد في إظهار ابتسامتك. مع التقدم في العمر، وتحت تأثير العادات اليومية الخاطئة، تبدأ الأسنان بفقدان لونها الطبيعي لتتحول إلى درجات من الاصفرار أو البني الداكن، مما يؤثر على مظهر الوجه ونفسيّة الشخص. لكن لا داعي للقلق، فمع تطور الطب التجميلي للفم والأسنان، أصبحت حلول علاج تصبغات الأسنان متوفرة وفعالة.

في هذا الدليل المتكامل، سنتعرف على الأسباب الشائعة لتغير لون الأسنان، أنواع التصبغات، الفرق بينها وبين التسوس، وأفضل طرق العلاج والوقاية سواء في المنزل أو في عيادة طبيب الأسنان.

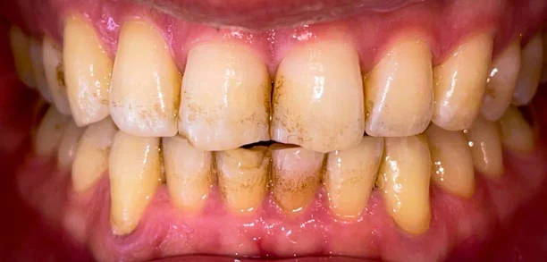
ما هو تصبغ الأسنان؟

تصبغ الأسنان هو تغير في لون الأسنان عن اللون الأبيض الطبيعي، بحيث تظهر بلون أصفر، بني، رمادي أو حتى في شكل بقع متفاوتة على سطح السن. ويمكن أن يكون التصبغ سطحيًا (خارجيًا) أو عميقًا (داخليًا)، وقد يكون لأسباب تتعلق بالعادات الغذائية أو صحية أو حتى جينية.

الأسباب الشائعة لتصبغ الأسنان

1. العادات الغذائية والسلوكية

  • الإفراط في شرب القهوة والشاي: تحتوي على مادة التانين التي تترسب على مينا الأسنان.
  • تناول الفواكه الداكنة: مثل التوت والكرز.
  • التدخين ومضغ التبغ: يؤديان إلى تراكم القطران والنيكوتين الذي يصبغ الأسنان بالأصفر أو البني.
  • قلة العناية بالفم: عدم تنظيف الأسنان بانتظام يسمح بتراكم البلاك والبقع.

2. أسباب طبية

  • أمراض الكبد، سوء الامتصاص، الكساح، نقص الكالسيوم والفيتامينات (C وD).
  • التهابات اللثة ومشاكل التمثيل الغذائي.
  • الأمراض الوراثية التي تؤثر على نمو مينا الأسنان.

3. الأدوية

  • المضادات الحيوية مثل التتراسيكلين والدوكسيسيكلين: تؤثر على مينا الأسنان للأطفال تحت سن الثامنة.
  • غسولات الفم التي تحتوي على الكلورهيكسيدين.
  • أدوية علاج الضغط، مضادات الهيستامين والعلاج الكيميائي أو الإشعاعي.

4. أسباب إضافية

  • التقدم في العمر: يؤدي إلى تآكل المينا وظهور العاج الذي يكون أغمق.
  • الصدمات: تؤدي لتلف العصب وتغير اللون من الداخل.
  • الفلورايد الزائد: قد يسبب بقعًا بيضاء أو بنية على الأسنان.
  • حشوات الأملغم: تتسبب بتغير لون السن للرمادي أو الأسود.
أسباب تغير لون الأسنان وطرق الوقاية والعلاج

أنواع تصبغ الأسنان

النوعالوصف
الخارجييصيب سطح السن (المينا) نتيجة الأطعمة أو التدخين، ويمكن إزالته بالتنظيف أو معاجين التبييض.
الداخلييصيب العاج أسفل المينا، وقد ينتج عن أدوية أو صدمات، وعلاجه يتطلب تدخل طبي متخصص.
المرتبط بالعمرناتج عن تآكل المينا وظهور العاج، ويزداد مع مرور الوقت والعادات السلبية.
أنواع تصبغ الأسنان

كيف يمكن علاج تصبغ الأسنان؟

أولاً: العلاج في عيادة الأسنان

  1. تبييض الأسنان الاحترافي
    • يتم باستخدام بيروكسيد الهيدروجين بتركيز عالٍ.
    • تظهر النتائج خلال جلسة واحدة.
    • يمكن استخدام ضوء الليزر لتسريع العملية.
  2. الربط السني (Bonding)
    • مادة بلون الأسنان تُستخدم لتغطية البقع أو الترميم.
  3. قشور الفينير أو اللومينير
    • قشور رقيقة تغطي السطح الأمامي للسن وتخفي التصبغ.
  4. تيجان الأسنان (Crown)
    • تستخدم للأسنان المتضررة بشدة.
  5. تنظيف الأسنان الاحترافي
    • إزالة الجير وتلميع الأسنان، ويمكن تكراره مرتين سنويًا.

ثانياً: علاج التصبغات في المنزل

  1. معاجين الأسنان المبيضة
    • فعالة للبقع الخفيفة.
  2. لصقات التبييض
    • تحتوي على مواد مبيضة منخفضة التركيز.
  3. روتين نظافة يومي
    • تفريش الأسنان مرتين يوميًا لمدة دقيقتين.
    • استخدام الخيط وغسول الفم.

أفضل طرق الوقاية من تصبغ الأسنان

  • تقليل استهلاك القهوة والشاي والمشروبات الغازية.
  • الإقلاع عن التدخين.
  • تنظيف الأسنان مرتين يوميًا، مع استخدام خيط الأسنان.
  • زيارة الطبيب مرتين في السنة.
  • استخدام معجون مبيض مرة أسبوعيًا فقط.
  • تجنب وصفات الإنترنت الخطرة (مثل الفحم والبيكربونات).
  • إضافة الحليب إلى القهوة للتقليل من تأثير التصبغ.
  • تناول أطعمة غنية بالكالسيوم مثل الألبان والمكسرات.

الفرق بين التسوس وتصبغ الأسنان

المعيارتصبغ الأسنانتسوس الأسنان
الشكلبقع سطحية أو عامةبقع بنية/سوداء مع تجويف
الألمغالبًا لا يسبب ألمًايسبب ألمًا عند تطوره
الحساسيةنادرةشائعة مع الحرارة والبرودة
الاستجابة للعلاجيتحسن بالتنظيف والتبييضيحتاج علاجًا طبيًا
الحفر أو التجاويفغير موجودةواضحة
الفرق بين التسوس وتصبغ الأسنان

تصبغ الأسنان ليس مجرد مشكلة تجميلية، بل مؤشر على بعض العادات غير الصحية أو وجود مشاكل طبية. لكن الجميل في الأمر أنه قابل للعلاج في معظم الحالات، خاصة عند الكشف المبكر واتباع خطوات وقائية فعالة.

فإذا كنت تعاني من تصبغ الأسنان وتبحث عن ابتسامة أكثر إشراقًا، فننصحك بزيارة عيادات الصفاء الرائدة في جدة، حيث يقدم قسم الأسنان بها خدمات تبييض الأسنان المتقدمة مثل الليزر والفينير، تحت إشراف نخبة من أطباء الأسنان المتخصصين بأحدث التقنيات وأفضل الخبرات ، لتستعيد ابتسامتك المشرقة بثقة وأمان.